Skip to Content

Smile Gallery

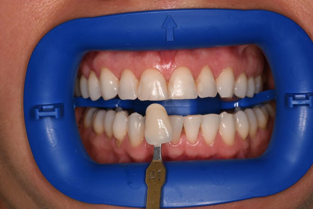
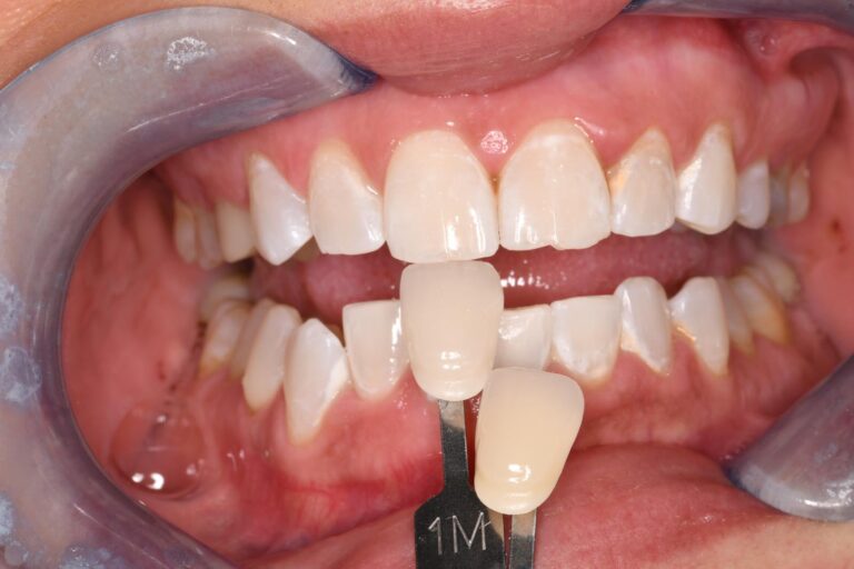
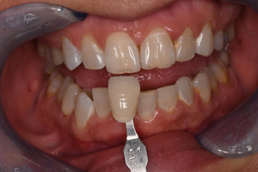
Dazzling Smile Transformations

We’ve become a trusted partner for individuals looking to completely revamp their smiles with restorative and cosmetic services, including implants, dentures, clear aligners, and other custom treatments. Explore the before-and-after images below to see how we’ve helped patients achieve their dream smiles.

Ready For Your Own Smile Transformation?

Ready to achieve the smile you’ve always wanted? Glo Dental Studio combines expert care and advanced technology to help you reach your dental goals. Schedule a consultation to explore the restoration options perfect for you.

Glo Dental Studio

N4W22370 Bluemound Rd #103
Waukesha, WI 53186
View Map

Hours

Monday: 8 a.m. - 3 p.m.
Tuesday: 8 a.m. - 3 p.m.
Wednesday: 8 a.m. - 3 p.m.
Thursday: 8 a.m. - 3 p.m.

Phone

262-875-3304

Email Address

glodentalstudiowi@gmail.com